Se plaignant de maux de ventre, les docteurs trouvent un foetus dans le ventre d'un adolescent de 15 ans
En Malaisie, un foetus mort qui avait un pénis et des cheveux a été retiré du ventre d'un garçon de 15 ans.
Le garçon se plaignait de douleurs au ventre depuis sa naissance, mais jamais les docteurs n'auraient pu deviné la caractère horrible de ce qui causait de telles douleurs chez lui.
Ce n'est qu'à partir du moment où le garçon a dû se présenter en panique à l'hôpital que les médecins ont réellement commencé à comprendre ce qu'il se passait.
En effet, le garçon s'est présenté à l'hôpital en informant le personnel médical que la douleur avait atteint un seuil tout simplement insupportable.
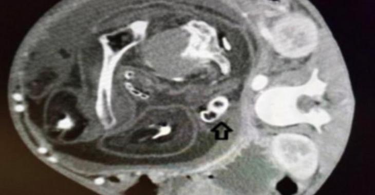
C'est donc en pratiquant des examens approfondis auprès du garçon que les médecins ont fini par découvrir que ce n'était pas une tumeur qui affectait la santé du garçon, mais bien le foetus de son frère jumeau qui était demeuré logé dans son ventre.
Le foetus faisait en sorte qu'il irriguait beaucoup de sang, ce qui causait une grande perte d'énergie chez l'adolescent.
Le foetus était complètement recouvert de peau, il avait un pénis et de longs cheveux.
Les chirurgiens du Sultan Abdul Halim Hospital sont donc parvenus à retirer le foetus qui pesait un poids de 1.6 kg.

Évidemment, le foetus était non-viable, c'est-à-dire qu'il n'aurait pas pu vivre indépendamment. D'ailleurs, les médecins ont précisé qu'il n'avait pas de bouche, ni de placenta ou de cordon ombilical.
Les docteurs avaient d'abord cru que l'adolescent était atteint d'une tumeur, puis ils furent tous sous le choc en découvrant la vérité.
Ce n'est qu'en réalisant que la masse qui se logeait dans le ventre de l'adolescent comportait une colonne vertébrale que les médecins ont compris qu'il ne s'agissait pas d'une tumeur.
Par la suite, des analyses plus poussées ont démontré que la masse comprenait des morceaux de crâne humain, des os et même des vertèbres.
Une fois le foetus retiré du ventre du garçon, les restants du jumeau ont été remis aux parents afin qu'ils puissent procéder à des funérailles privées.
Ce phénomène est extrêmement rare et jusqu'ici, on a dénombré un peu plus de 200 cas dans la littérature médicale.
Dans 80% des cas du genre, le foetus se loge dans l'abdomen du patient.
Enfin, les chirurgiens qui ont opéré le garçon se sont dits très satisfaits de leur intervention, car comme ils l'ont expliqué, il s'agit là d'une intervention extrêmement délicate, étant donné que le moindre faux mouvement pourrait blesser le patient.
Toutefois, l'opération fut un réel succès et au moment d'écrire ces lignes, le jeune garçon serait sur le chemin de la rémission.
On lui souhaite de ne plus jamais avoir mal au ventre!
Source: DailyMail
Crédit Photo: Courtoisie